UNE INJECTION DE PFIZER EST BIEN PLUS DANGEREUSE QU’UNE CONTAMINATION OMICRON : les preuves

Ils injectent toujours la spike du Covid wuhan particulièrement dangereuse et non celle d’Omicron .Problème cette spike du wuhan est capable de faire fusionner plusieurs cellules pour donner des syncitya . Cette propriété à produire des syncytia est reconnue comme jouant un rôle dans la virulence.

Heureusement pour nous, à la suite des mutations ,Omicron est incapable de produire des syncytia, c ‘est l’explication de sa faible virulence

Scandale des scandales, la spike du Wuhan généré par le Pfizer provoque une pathologie par le biais de la formation des syncytia et la maladie est bien plus grave que la maladie naturelle provoquée par Omicron

Merci au Véto pour ce travail de recherche

TheVeto

@TheVeto3

·

Peut-on m’expliquer pourquoi ils continuent à vacciner à l’ARNm avec la version wuhan (WT = Wild Type) de la spike du SARS-CoV2? /20
D’un point de vue:
– immunologique, la séquence est périmée!
– pathogénique, cette spike WT représente un danger!
– vaccinologique, la technologie à ARNm n’est pas contrôlée!
-épidémique le variant Omicron est moins virulent! 

Après avoir infecté une cellule, le SARS-CoV-2 a (comme d’autres coronavirus) la capacité de faire fusionner celle-ci avec des cellules voisines aboutissant à la formation de structures nommées syncytia (des cellules géantes multinucléées)

Ici, la formation de syncytia par le SARS-CoV-2 dans des cellules nerveuses de chauve-souris

A microscopic video shows the coronavirus on the rampage.Inside a bat’s brain, the pathogen destroys cells, but not before it forces them to build more invaders.https://www.nytimes.com/2021/08/22/science/microscopic-bat-brain-virus.html

 Il est évident que la formation de cellules géantes n’est pas naturelle dans le tissu et fait partie des mécanismes pathogènes du SARS-CoV-2 …
Ici des syncytia visibles dans les pneumocytes de personnes décédées du COVID
elifesciences.org/articles/65962…

SARS-CoV-2 requires cholesterol for viral entry and pathological syncytia formationA high-throughput microscopy screen for drugs that modulate SARS-CoV-2 spike-mediated membrane fusion identifies an essential role for cholesterol in both virus entry and syncytia formation.https://elifesciences.org/articles/65962?utm_source=twitter&utm_medium=social

Il a été démontré que cet effet cytopathogène pouvait être reproduit uniquement avec la spike (sans le virus) puisque des cellules transfectées qui n’expriment que la spike sont capables de reproduire cet effet « syncytia inducer »

SARS-CoV-2 requires cholesterol for viral entry and pathological syncytia formationA high-throughput microscopy screen for drugs that modulate SARS-CoV-2 spike-mediated membrane fusion identifies an essential role for cholesterol in both virus entry and syncytia formation.https://elifesciences.org/articles/65962?utm_source=twitter&utm_medium=social

 Cette belle vidéo montre la fusion cellulaire en temps réel aboutissant à la formation des syncytia. La cellule verte exprime la spike à sa surface et la cellule violette exprime ACE2

La formation des syncytia est due à l’interaction entre
-la Spike exprimée à la surface de la cellule infectée et
-le récepteur ACE2/TMPRSS2 exprimé à la surface des cellules non-infectées

Cette propriété à produire des syncytia est reconnue comme jouant un rôle dans la virulence.
Omicron, moins virulent sur le terrain, est quasi incapable de produire des syncytia sans doute à cause des mutations accumulées dans sa spike

Unroll available on Thread Reader

 Dans cette publi, des lignées cellulaires exprimant la spike « omicron » ne forment pratiquement pas de syncytia
biorxiv.org/content/10.110…

The SARS-CoV-2 variant, Omicron, shows rapid replication in human primary nasal epithelial cultures and efficiently uses the endosomal route of entryAt the end of 2021 a new SARS-CoV-2 variant, Omicron, emerged and quickly spread across the world. It has been demonstrated that Omicron’s high number of Spike mutations lead to partial immune evasion…https://www.biorxiv.org/content/10.1101/2021.12.31.474653v1

Pour rappel, la vaccination à ARNm n’est rien d’autre que l’induction non-controlée d’une transfection dans les cellules des différents tissus (organes) d’un humain … puisqu’en 2h, un pic plasmatique de nanoparticules lipidiques chargées en ARNm de la spike WT se produit

12/20 Question : par ex dans le coeur, comment les cardiomyocytes, que la nature a si joliment imbriqué, réagiraient si par malheur, par accident, quelques vésicules du vaccin à ARNm transfectaient la version la plus virulente de la spike?

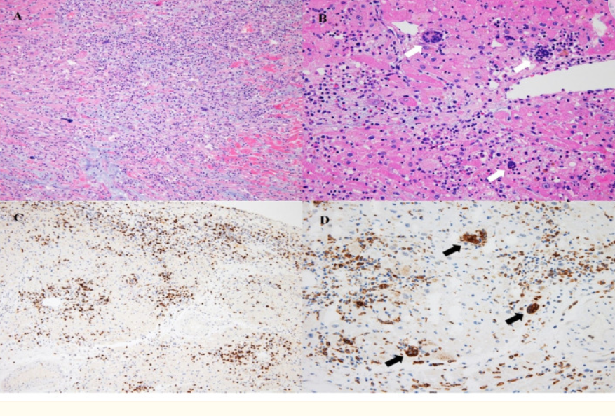
Elément de réponse: le coeur de cette dame de 42 ans n’a pas résisté 4j après sa 2ème dose de Pfizer. On a dû lui greffer un nouveau coeur … myocardite fulminante à cellules géantes! Dommage, pas à risque de COVID!

Fulminant Giant Cell Myocarditis following Heterologous Vaccination of ChAdOx1 nCoV-19 and Pfizer-BioNTech COVID-19A 48-year-old female patient underwent a heart transplantation for acute fulminant myocarditis, following heterologous vaccination with the ChAdOx1 nCoV-19 and Pfizer-BioNTech COVID-19. She had no his…https://www.ncbi.nlm.nih.gov/pmc/articles/PMC8950462/

L’histopathologie montre la nécrose (mort des cardiomyocytes), une forte infiltration de macrophages, lymphocytes T, quelques éosinophiles et surprise des cellules géantes d’origine monocytaire (CD68+) … mais d’où viennent-elles et que deviennent-elles? 

Cette étude montrait déjà en avril 2021 que les cellules immunitaires de différents types exprimant la spike pouvaient fusionner entre elles pour former un syncytium et finir par mourir …

SARS-CoV-2 spike protein dictates syncytium-mediated lymphocyte elimination – Cell Death & Differentiationhttps://www.nature.com/articles/s41418-021-00782-3

 Autre exemple, autre organe: une femme 49ans déclenche une thyroidite dans les 2 semaines après sa dose de Moderna. Une aspiration d’un nodule thyroidien donne des lymphocytes, des marcophages et des cellules géantes multinucléées …

Case Report: Two Cases of Subacute Thyroiditis Following SARS-CoV-2 VaccinationSubacute thyroiditis is an inflammatory thyroid disorder associated with viral infections. Rare cases of subacute thyroiditis have also been described following vaccination. Recently, a few cases of s…https://www.frontiersin.org/articles/10.3389/fmed.2021.737142/full

Question: pourquoi dans tous ces cas cliniques, la présence de l’ARNm vaccinal ou de la spike n’est pas recherché systématiquement versus tissu contrôle du même patient (ex biopsie cutanée)? 

Pour impliquer le vaccin, il suffit de faire une extraction d’ARN et une RT-PCR! Vu le nombre de tests effectués inutilement depuis 1 an, on est plus à une manip près. On peut aussi faire de l’hybridation in situ de sonde nucléot. Pour la spike de l’immunohistochimie. 

Il est grand temps de remettre au placard les vaccins à ARNm et de passer, si la vaccination est encore nécessaire pour des fragiles, à des vaccins plus conventionnels. 

La technologie à ARNm aura un intérêt lorsque l’expression de la protéine vaccinale dans le corps de l’individu vacciné sera contrôlée, du point de vue
-de sa localisation
-de sa durée
-de sa quantité

Il n’y a plus de comité d’éthique? 

https://t.co/3wV0k9hKrt

Avatar de Inconnu

About pgibertie

Agrégé d'histoire, Professeur de Chaire Supérieure en économie et en géopolitique, intervenant àBordeaux III et comme formateur à l'agrégation d'économie à Rennes Aujourd'hui retraité
Cet article a été publié dans éducation prépa école de commerce. Ajoutez ce permalien à vos favoris.

7 Responses to UNE INJECTION DE PFIZER EST BIEN PLUS DANGEREUSE QU’UNE CONTAMINATION OMICRON : les preuves

  1. Avatar de JANINE PINAT JANINE PINAT dit :

    Bonjour, mon époux (76 ans) hospitalisé ( 4 mois) pour une forte déprime ayant entraîné une perte de poids de 20 kgs et une grande faiblesse suite à cet amaigrissement, a été vacciné contre le Covid sans son consentement, ni le mien est décédé la semaine suivante. 2 jours après l’injection, fièvre et puis coma. L’horreur et la colère !! Je ne peux accepter ce qui s’est passé de la part de ce toubib qui pour moi l’a piqué une 1ère fois, et la seconde fois pour éviter sa souffrance a pratiquer une sédation. Sachant qu’une semaine avant des tests Covid avaient été effectués chez tous les patients et que le résultat de son test était NÉGATIF. Pourquoi ce vaccin ? J’ai besoin de savoir vers qui me tourner je ne peux continuer à vivre avec toutes ces questions qui tournent en boucle dans ma tête sans compter ce manque, nous avions 55 ans de mariage et étalons un couple fusionnel. Ma vie n’a plus de sens 😭😭

    J’aime

  2. Ping: LE BLOG DE PATRICE GIBERTIE:UNE INJECTION DE PFIZER EST BIEN PLUS DANGEREUSE QU’UNE CONTAMINATION OMICRON : les preuves – Titre du site

  3. Avatar de Greg Greg dit :

    Il n’y aura bientôt plus qu’un seul tennisman valide au monde !

    J’aime

  4. Ping: ILS VEULENT INJECTER UNE QUATRIEME DOSE DU SPIKE DE WUHAN (2019) mais elle plus dangereuse qu’une contamination Omicron | LE BLOG DE PATRICE GIBERTIE

Laisser un commentaire