
1 INJECTEZ VOUS ET DEVENEZ UNE USINE A SPIKE
Avec les injections votre organisme sera capable de produire de la protéine spike non pas quelques heures comme prévu mais plusieurs mois… Plusieurs études le prouvent mais la presse n’en parle surtout pas, car cette protéine vaccinale fait bien plus de mal que la virale…
D’après des études et des preuves d’autopsie, les experts médicaux montrent : Les vaccins à ARNm ne restent pas au site d’injection, mais voyagent dans tout le corps et s’accumulent dans divers organes
Les vaccins Covid à base d’ARNm induisent une expression durable de la protéine de pointe dans de nombreux organes L’expression induite par le vaccin de la protéine de pointe induit une inflammation de type auto-immune L’inflammation induite par le vaccin peut causer de graves dommages aux organes, en particulier dans les vaisseaux
En termes simples, la spike vaccinale n’est pas naturelle Elle est traduite à partir ARNm vaccinal artificiel La méthyl-pseudouridine a été ajoutée et peut expliquer pourquoi une molécule d’ARN normalement fragile dure plus de 3 mois et plus. C’est potentiellement énorme H Banoun
https:// onlinelibrary.wiley.com/doi/epdf/10.10 02/cia2.12278 …
2TRANSFORMEZ LES FEMMES EN USINE A SPIKE
18 longs mois se sont écoulés entre les études menées et la reconnaissance officielle des troubles menstruels en lien avec les injections Covid. Et on trouve encore les mêmes journalistes dispensant leur bouillie confuse pour exonérer les autorités de santé


COURBE DES VACCINATIONS DE FEMMES ENCEINTES ET DE LA CONTAMINATION DE FEMMES ENCEINTES/ C ‘EST BIZARRE
Le Herald a publié un article sur la vax COVID pendant la grossesse et le scandale de la mort néonatale. Les graphs de ces 3 figures ont été produits avec des délais différents. Mais alignez les délais,les pics d’incidence s’alignent sur les pics de vax https://heraldscotland.com/news/23028843.covid-scotland-vaccines-ruled-cause-neonatal-deaths-spike/?ref=rss
Heureusement les journalistes ont cassé leurs lunettes et ne voient rien d’ anormal… Regardez bêtement la situation en décembre 2021, janvier 2022. Si vous êtes surpris, c’est que vous n’êtes pas journaliste

L’infertilité à vie est un effet possible de ‘injection covid
Vaccins Covid-19 et santé de la femme. On s’inquiète des effets des injections sur le système endocrinien et de la possibilité d’une réaction auto-immune contre la protéine Syncytin-1, essentielle à la santé placentaire et à sa capacité à maintenir une grossesse
L’infertilité à vie est un effet possible de ‘injection covid. De plus, les ovaires sont l’un des organes qui présentent la plus forte accumulation de glycoprotéines toxiques produites par les propres cellules des victimes d’injection
Problèmes cardiaques de foetus après injection
« Nous présentons 2 cas de tachycardie supraventriculaire fœtale après l’administration du vaccin Pfizer pendant la grossesse. Une surveillance continue de la sécurité & un suivi + longitudinal sont nécessaires pour évaluer l’impact sur le fœtus après la vaccination maternelle »
https://t.co/eW5Zx2SBrS
« Sûr et sans danger pour la #grossesse« , vraiment? Problèmes cardiaques de foetus après injection Pfizer, et on vous dira dans 6 mois « qu’on ne savait pas parce qu’on ne l’avait pas testé à l’époque » https://pubmed.ncbi.nlm.nih.gov/36248062/
Le Dr Parikh : Mère triple doses
, Nouveau-né décédé, souffrant de détresse respiratoire et de « Poumons Blancs », incapable de respirer, transféré en urgence « Syndrome Inflammatoire Multisystémique-nouveau-nés ». Taux élevé d’anticorps « anti-Spike » (S1)

3 AU COEUR DE L’Usine a spike


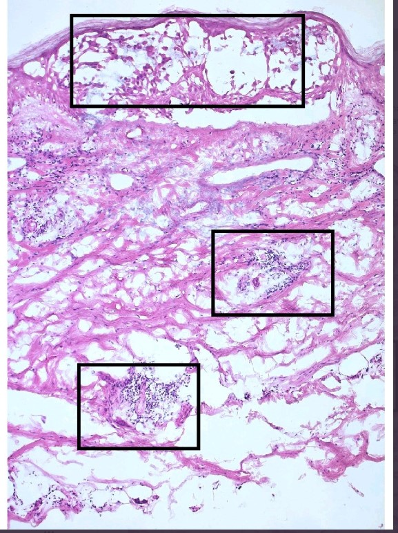
4 LE ZONA POST VACCINAL

La vaccination par ARNm entraîne 3+ mois de zona. Les lésions contenaient des protéines de pointe. « Infection persistante à VZV suite à l’ARNm… vaccination… présence d’une protéine de pointe dans la peau affectée. Une vigilance accrue quant à l’effet secondaire du vaccin… est justifiée. »
les nucléotides d’uridine pour BNT162b2 pourraient entraîner une production à long terme du SP codé à partir de n’importe quelle cellule, affectant de manière persistante la peau «
« Détection de la protéine de pointe (SP) du SRAS-COV-2. (A) Image H&E (×100) du même échantillon que la figure 2D mise en évidence avec des zones rectangulaires immunocolorées avec un anticorps anti-SP (B – D). »
5 Rapports d’autopsie mettant en évidence l’implication des injections anti-covid…
https://threadreaderapp.com/thread/1586868093573369856.html
https://sciencedirect.com/science/article/pii/S1201971222002570…https://ncbi.nlm.nih.gov/pmc/articles/PMC8709364/…https://ncbi.nlm.nih.gov/pmc/articles/PMC8051011/… (échec vaccinal et décès d’une forme bénigne
) https://ncbi.nlm.nih.gov/pmc/articles/PMC9433066/… (idem) https://ncbi.nlm.nih.gov/pmc/articles/PMC9250935/
Encéphalomyélite aiguë disséminée (ADEM) suite à la récente vaccination Oxford/AstraZeneca COVID-19
https://pubmed.ncbi.nlm.nih.gov/34735684/ (ADEM : acute disseminated encephalomyelitis) https://pubmed.ncbi.nlm.nih.gov/35157759/ (2 ados – Pfizer, 14/02/2022) https://pubmed.ncbi.nlm.nih.gov/36191411/ (une 3e dose fatale) https://pubmed.ncbi.nlm.nih.gov/34978002/ (janv 2022) https://pubmed.ncbi.nlm.nih.gov/35189339/ (avril 2022) https://pubmed.ncbi.nlm.nih.gov/35334625/ (AstraZ + BNT)
https://pubmed.ncbi.nlm.nih.gov/35456110/ (thrombose, 3 cas, mRNA vax, avril 2022) https://pubmed.ncbi.nlm.nih.gov/35500794/https://pubmed.ncbi.nlm.nih.gov/36298516/ (article de Morz publié !
Que se passe-t-il ? Vanity Fair nous parle de Fauci, Daszak, Baric, EcoHealth Alliance, FOIA, de problèmes de sécurité dans les labos de Wuhan, séquences cachées, pressions, financements. Un média main stream devenu complotiste ? Assurément un grand pas.

Ping: Comment devenir pendant des mois, un auto producteur de protéine spike? avec tous les risques connus mais dissimulés par la presse | LE BLOG DE PATRICE GIBERTIE – Politique émois et moi
Le propre de l’Être humain voire son comble, est la superstition ; or son paradoxe soit qu’un Être faible, réduit ou asservi s’abandonnera toujours à de fausses croyances … De fausses croyances qu’il est opportun de conjurer !
Superstition : croyance à l’existence de forces occultes et surnaturelles.
Superstition : croyance irraisonnée fondée sur la crainte ou l’ignorance qui prête un caractère surnaturel ou sacré à certains phénomènes, à certains actes, à certaines paroles.
La gestion officielle occidentale de la pseudo pandémie de sars-cov-2, de sa maladie covid-19, puis des pseudo vaxxins ne résistent pas à l’analyse sévère du phénomène de la superstition dont un corollaire navrant soit un délire, une hystérie, une imploration religieuse (le fait de relier les âmes par un discours dogmatique commun).
Ainsi, la sidération, la peur panique et enfin la révélation céleste imposent le mirage funèbre que les âmes et les corps seront sauvés par un discours, une incantation, un culte, une contrition, une confession, une grand’messe, une célébration, une communion … exclusive quantique.
Ainsi, l’Icare élyséen en fut le grand archiprêtre national sectaire assassin …
N’implorons pas la Secte de réintégrer les « bannis » : neutralisons la Secte !
Coûte-que-coûte ?
J’aimeAimé par 1 personne
attention jack nicholson est bien vivant, c’est jacob desvarieux, michael mikaben, jean pierre pernaud etc qui sont décédés et pour lesquels on soupçonne l’injection
J’aimeAimé par 1 personne
A reblogué ceci sur La vérité est ailleurs.
J’aimeJ’aime
ne vous faites pas d’illusions, la protéine ne disparait pas avec le temps et se transmet très facilement par contact. J’en ai la preuve car je vérifie régulièrement mon sang au microscope, depuis le début du covid, j’avais attrapé spike et graphène une fois a l’hôpital et j’étais arrivé a m’en débarrasser au bout d’un mois de traitement. Ma fille vaccinée depuis un an a toujours spike et graphène, elle est venue nous voir deux jours et on a attrapé ma femme et moi spike et graphène. Au bout de 15 j de traitement les spike sont toujours la et dans les globules rouges qui normalement ne savent pas produire de protéine donc il y a forcément en plus modification de l’ADN.
Conclusion:
1) les spike et graphène ne s’éliminent pas seuls
2) les deux se transmettent par contact
3) il y a modification de l’ADN
4) les vaccinés (pas tous) émettent un signal bluetooth mais seulement en présence de 4 ou 5G donc pas de signal dans les zones blanches. Les contaminés par les vaccinés n’émettent pas de signal. Donc il y a bien une puce en plus mais qui ne se transmet pas.
J’aimeJ’aime
Ping: Echec des vaccins covid et grippe, les incroyables aveux d’Antony Fauci, il a seulement trois ans de retard sur Didier Raoult merci a notre ami Gibertie lien se son blog en fin d’ article – PAGE GAULLISTE DE RÉINFORMATION . LES MÉDIAS NOU