Avant une #anesthésie des précautions lourdes sont à prendre si le patient a été vaccccx #ARNm et a présenté par la suite des symptomes cardiaques mêmes minimes

La recherche du niveau d’enzymes cardiaques devrait elle être systématique pour les patients vaccinés ARNm? La possibilité d’une myocardie/péricardie poserait problème en cas d’anesthésie . La prévalence exacte de ces troubles dans la population vaccinée est difficile car de nombreux cas sont mal diagnostiqués ou apparaissent avec des symptômes minimes ( 1 personne sur 30 après 3 doses).

https://www.ncbi.nlm.nih.gov/pmc/articles/PMC10276972/

L’autopsie de plus de 500 personnes décédées de la covid confirme que la maladie ne provoque pratiquement pas de myocardites! C’est une spécialité du « vacccxxxin », rien que du vaccccxxxin et à partir de 3 doses, 1 risque sur 30

Les menteurs et les ignares vous expliqueront que la flambée actuelle de myocardites s’expliquerait par des covids longs . Il n’en est rien , la plus grande étude collaborative internationale de cardiologues fournit les preuves 1 CE QUE NOUS APPRENNENT … Lire la suite →

L’ALERTE

Lors du traitement anesthésique des patients présentant une inflammation myocardique et péricardique après la vaccination contre la COVID-19, des précautions doivent être prises pour réduire le risque de dépression myocardique et d’arythmies. Éviter l’hypotension et la tachycardie, maintenir un volume intravasculaire suffisant et éviter les médicaments pouvant entraîner un allongement du segment QT ou des arythmies sont autant de précautions

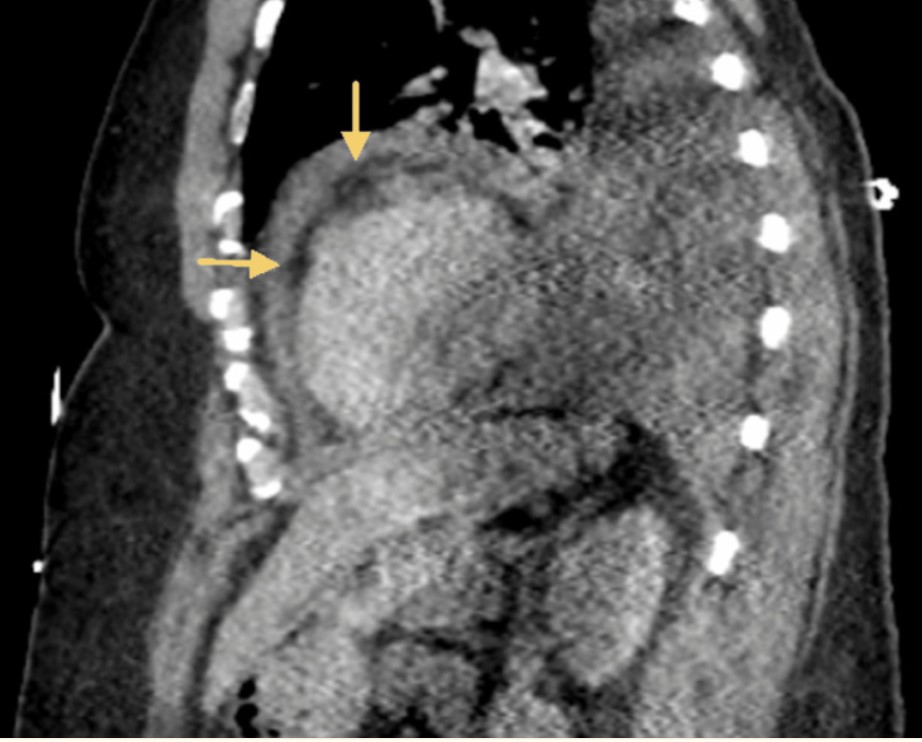
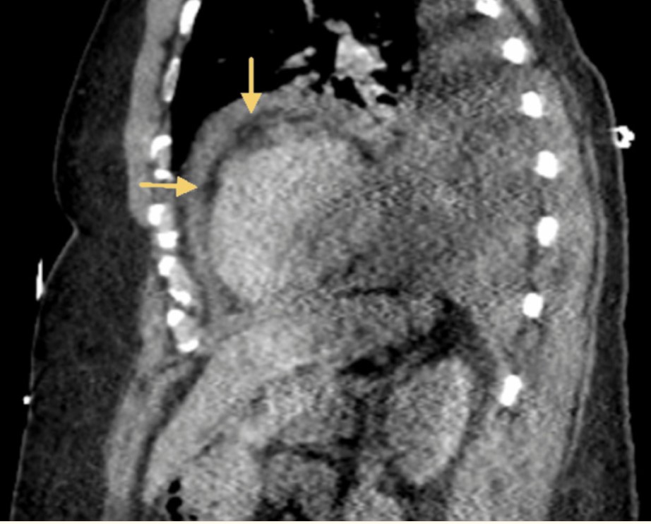
Après la vaccination contre la COVID-19, les patients peuvent présenter des symptômes cliniques et des signes de péricardite et de myocardite, notamment des douleurs thoraciques, un essoufflement, de la fièvre et des malaises. Des niveaux élevés d’enzymes cardiaques telles que la troponine et la créatine kinase-MB peuvent être détectés par des tests de laboratoire. 

Les anesthésistes doivent être conscients du risque de péricardite et de myocardite chez les patients qui ont reçu le vaccin Pfizer-BioNTech COVID-19 et prendre les précautions appropriées pour surveiller et gérer toute complication potentielle pendant l’anesthésie. Il est essentiel de surveiller de près les patients pour tout signe de problèmes cardiaques pendant et après la chirurgie, y compris les changements de fréquence cardiaque ou de rythme, les douleurs thoraciques ou l’essoufflement. Des recherches supplémentaires sont nécessaires pour mieux comprendre les implications à long terme de la péricardite et de la myocardite suite à la vaccination contre la COVID-19 avec ce vaccin et pour développer des stratégies visant à minimiser le risque de ces complications pendant l’anesthésie.

Une échocardiographie transœsophagienne (ETO) est un type particulier d’échocardiogramme. Ce test est habituellement effectué lorsque le médecin veut examiner de plus près le cœur afin de savoir s’il produit des caillots sanguins. Ellle doit être systématique

Pour minimiser l’instabilité hémodynamique et la dépression myocardique, les méthodes d’anesthésie régionale telles que la péridurale thoracique ou les blocs paravertébraux peuvent être préférées à l’anesthésie générale 

Dans ce rapport de cas, les soins anesthésiques pour un patient suspecté de péricardite/myocardite induite par la vaccination COVID-19 pendant la chirurgie de la fenêtre péricardique sont présentés.

 Les effets secondaires rares mais potentiellement catastrophiques de la vaccination contre la COVID-19 comprennent la myocardite et la péricardite. Le traitement anesthésique de ces patients nécessite une surveillance, une attention lors du choix de l’anesthésique et des précautions pour réduire le risque de complications et améliorer les résultats pour les patients.

 Ce rapport de cas met en évidence la nécessité d’un traitement anesthésique prudent chez les patients subissant des opérations chirurgicales qui ont suspecté une myocardite ou une péricardite causée par l’immunisation au COVID-19. En outre, les risques et les avantages des thérapies invasives telles que les fenêtres péricardiques doivent être soigneusement pris en compte.

En outre, une titration prudente des opioïdes et des médicaments bloquants neuromusculaires est nécessaire pour éviter une dépression respiratoire et des doses excessives pouvant entraîner une dépression cardiaque. 

 L’ETO doit être considérée comme une technique de routine afin de minimiser les interventions chirurgicales inutiles et le risque de dégénérescence myocardique. Pour fournir à ces patients le meilleur traitement possible, les cliniciens, les éducateurs et les chercheurs doivent être conscients de ces problèmes potentiels et collaborer étroitement avec l’équipe multidisciplinaire.

Avatar de Inconnu

About pgibertie

Agrégé d'histoire, Professeur de Chaire Supérieure en économie et en géopolitique, intervenant àBordeaux III et comme formateur à l'agrégation d'économie à Rennes Aujourd'hui retraité
Cet article a été publié dans éducation prépa école de commerce. Ajoutez ce permalien à vos favoris.

6 Responses to Avant une #anesthésie des précautions lourdes sont à prendre si le patient a été vaccccx #ARNm et a présenté par la suite des symptomes cardiaques mêmes minimes

  1. Avatar de pujos claude pujos claude dit :

    Jusqu’à quand allons nous recevoir des infos négatives sur l’utilisation de la vaccination ARNm?Et tout çà,à cause de Pfizer déjà condamné 90 fois par la justice!

    Aimé par 1 personne

  2. Avatar de christophe nicolas christophe nicolas dit :

    Vous allez voir que le scandale ne fait que commencer parce que pas mal de vaccinés ont désormais un organisme intimement pollué or c’est comme les virus, les bactéries, les prions, etc. , ça se peut se propager vers les organismes faibles en cas de forte charge polluante transmise.

    Certains voulaient faire payer les soins des non vaccinés mais qui va payer la mauvaise santé de beaucoup de vaccinés ?

    Aimé par 1 personne

    • Avatar de Robert Moreau Robert Moreau dit :

      Réponse perso : le même argent que celui qui a servi à financer ces essais « thérapeutiques » de vaxx ARNm (alors que ce sont les labos qui auraient dû les financer) : c’est-à-dire l’ ARGENT PUBLIC – de nos démocraties, ou ce qu’il en reste – : NOS IMPÔTS

      Aimé par 1 personne

  3. Avatar de Jean Sentrais Jean Sentrais dit :

    Avant une anesthésie, voici une autre précaution lourde à prendre si le patient a été vaxxiné ARNm, et a présenté par la suite des symptômes cardiaques minimes :

    – s’assurer que le patient comprenne bien qu’il a fait une connerie en se soumettant à la vax sans aucune connaissance véritable, et que désorienté dans son discernement, son état physique et psychique actuellement délabré eût mérité davantage de circonspection ! Préalablement.

    – et qu’il n’y a pas de « mais-oui-mais-non » qui tienne ! pour espérer se défausser …

    Aimé par 1 personne

Laisser un commentaire