Peut on concevoir une vaccination , de fait obligatoire , si toutes les précautions n’ont pas été prises avant l’autorisation . En 2020 Shibo Jiang (professeur de virologie à la School of Basic Medical Sciences, Fudan University, Shanghai, Chine, et au New York Blood Center, New York, États-Unis.) avertissait :« Mon inquiétude est que cela puisse signifier qu’un vaccin est administré avant que son efficacité et son innocuité n’aient été entièrement évaluées dans des modèles animaux ou des essais cliniques. «
Les travaux avec le virus du SRAS montrent que des réponses immunitaires inquiétantes ont été observées chez les furets et les singes, mais pas chez les souris. Pourquoi les expériences n’ont-elles pas été menées sur plusieurs espèces pour le Pfizer et les autres ? 42 malheureux macaques ont bien été utilisés mais en aucun cas pour vérifier les effets secondaires des vaccins . Il s’agissait simplement de vérifier l’efficacité du vaccin contre le virus
Aucune étude sur les effets de la protéine spike après l’injection , aucune réponse à la question posée par l’innocuité de la protéine active spike Il faut rappeler qu’il ne s’agit pas d’un virus inactivé mais d’un principe actif qui devait rapidement disparaitre du corps après l’injection et l’apparition des anticorps.
Et si elle avait le temps de faire des dégâts ? Si elle se diffusait bien plus longtemps que prévu ? Si elle déclenchait une forme du Covid ?
ON COMPREND MIEUX POURQUOI LE PLUS DOSE DES VACCINS ,LE MODERNA SOIT INTERDIT POUR LES JEUNES DANS LES PAYS SCANDINAVES
Des expériences récentes sur les souris peuvent inquiéter
LES DERNIERES ETUDES APPORTENT LA PREUVE que le principe de précaution a été oublié
Une série d’études très récentes démontrent que la fameuse protéine S Spike seule , produit des dégâts considérables . Il faut rappeler que les vaccins inoculent l’arn de la dite proteine S pour qu’elle puisse se multiplier dans notre organisme et provoquer la création d’ anticorps. Les concepteurs se sont trompés :
- La protéine S se répand et demeure plus longtemps que prévu dans l’organisme.
- Elle est dangereuse et provoque une forme de covid.
- Les effets n’ont pas été étudiés car réalisés sur des souris sauvages qui sous estiment l’ACE2 de l’homme, ils n’étaient pas visibles
- Les effets récents réalisés sur des souris transgéniques capables de reproduire ce qui se passe chez l’homme mettent en évidence les effets désastreux
A ce jour pas la moindre étude sur les risques de la dite protéine injectée pour les femmes en âge de procréer, pour ceux qui ont eu la covid, pour les vaccinés contre la grippe, pour les jeunes….
Votre médecin ne s’inquiète pas de la vaccination sans études préalables, demandez lui de lire ces études très techniques, il comprendra…
Nos données suggèrent que les médiateurs pro-inflammatoires libérés par les macrophages activés par des pointes amplifient l’activation des cellules endothéliales, contribuant probablement à l’altération de l’intégrité vasculaire et au développement d’un endothélium pro-coagulant.
https://pubmed.ncbi.nlm.nih.gov/34572407/
Nous concluons que la protéine de pointe seule sans le reste des composants viraux est suffisante pour déclencher la signalisation cellulaire dans HPAEC, et que le traitement avec HbA n’a pas réussi à inverser la grande majorité de ces changements induits par la protéine de pointe.
https://pubmed.ncbi.nlm.nih.gov/34445747/
le rôle régulateur de la protéine de pointe du SRAS-CoV-2 dans les cellules infectées et tenté d’élucider le mécanisme moléculaire de l’inflammation induite par le SRAS-CoV-2.
https://pubmed.ncbi.nlm.nih.gov/34461258/
La sous-unité S1 de la protéine de pointe SARS-CoV-2 induit une lésion pulmonaire aiguë de type COVID-19 chez les souris transgéniques Κ18-hACE2 et un dysfonctionnement de la barrière dans les cellules endothéliales humaines.
Ici, nous démontrons que l’instillation intratrachéale d’un seul élément du SRAS-CoV-2, S1SP, chez des souris transgéniques K18-hACE2 induit des réponses inflammatoires locales (pulmonaires) et systémiques de type COVID-19.
https://www.ncbi.nlm.nih.gov/labs/pmc/articles/PMC8384477/
https://pubmed.ncbi.nlm.nih.gov/34406358/
ENFIN LES PREMIERES ETUDES SUR LES EFFETS DE LA PROTEINE SPIKE VACCINALE
Peu d’autopsies après décès post vaccinal ;

Première image histopathologique d’une myocardite post-vaccinale chez un homme de 65 ans décédé 11 heures après sa deuxième dose d’ARNm de Pfizer. Infiltration massive de lymphocytes périvasculaires et entre les cardiomyocytes Pourquoi les lymphocytes s’excitent-ils donc à cet endroit? L’effet de la spike vaccinale? En injectant le principe actif de la maladie on provoque une sorte de covid.
https://pubmed.ncbi.nlm.nih.gov/34591186/
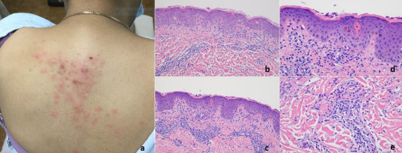
Les rapports d’effets de la protéine spike proviennent surtout des dermatologues


Réponse des lymphocytes T avec des caractéristiques de dermatite d’interface et d’inflammation granulomateuse interstitielle .
https://www.sciencedirect.com/science/article/pii/S0738081X21001516#fig0003
LE TERRIBLE AVERTISSEMENT DU DOCTEUR SIANG VALIDE PAR LES PREMIERES IMAGES POST AUTOPSIES
Partout dans le monde, je constate des efforts pour soutenir des programmes de « solution rapide » visant à développer des vaccins et des thérapies contre le COVID-19. Des groupes aux États-Unis et en Chine prévoient déjà de tester des vaccins sur des volontaires humains en bonne santé. Ne vous y trompez pas, il est essentiel que nous travaillions aussi dur et aussi vite que possible pour développer des médicaments et des vaccins largement disponibles dans le monde. Mais il est important de ne pas rogner sur les raccourcis.
Les vaccins contre la rougeole, les oreillons, la rubéole, la polio, la variole et la grippe ont une longue histoire d’utilisation sûre et ont été développés conformément aux exigences des organismes de réglementation.
Je travaille au développement de vaccins et de traitements contre les coronavirus depuis 2003, lorsque l’épidémie de syndrome respiratoire aigu sévère (SRAS) s’est produite. À mon avis, les protocoles standard sont essentiels pour protéger la santé. Avant d’autoriser l’utilisation d’un vaccin COVID-19 chez l’homme, les régulateurs doivent évaluer la sécurité avec une gamme de souches virales et dans plus d’un modèle animal. Ils devraient également exiger des preuves précliniques solides que les vaccins expérimentaux préviennent l’infection, même si cela impliquera probablement d’attendre des semaines, voire des mois, pour que les modèles soient disponibles.
C’est du temps bien dépensé. Les travaux avec le virus du SRAS montrent que des réponses immunitaires inquiétantes ont été observées chez les furets et les singes, mais pas chez les souris. De plus, certains fragments de protéines virales peuvent provoquer des réponses immunitaires plus puissantes ou moins risquées que d’autres, et il est logique d’apprendre cela dans des études animales avant de les essayer chez l’homme.
Il y a des décennies, des vaccins développés contre un autre coronavirus, le virus de la péritonite infectieuse féline, augmentaient le risque pour les chats de développer la maladie causée par le virus ( T. Takano et al. J. Vet. Med. Sci. 81 , 911-915; 2019 ). Des phénomènes similaires ont été observés dans des études animales pour d’autres virus, y compris le coronavirus qui cause le SRAS ( YW Kam et al. Vaccine 25 , 729-740 ; 2007 ).
Les régulateurs doivent continuer à exiger que les développeurs de vaccins vérifient les réponses potentiellement dangereuses dans les études sur les animaux. Ils doivent également veiller à évaluer les volontaires humains en bonne santé pour les anticorps contre les coronavirus avant de les inscrire à des essais de sécurité. Les bailleurs de fonds doivent se méfier du battage médiatique et débloquer davantage de subventions pour des tests appropriés pour le développement de médicaments et de vaccins contre les coronavirus.
Mon inquiétude est que cela puisse signifier qu’un vaccin est administré avant que son efficacité et son innocuité n’aient été entièrement évaluées dans des modèles animaux ou des essais cliniques.
Un autre facteur doit également être pris en compte : le potentiel des coronavirus émergents et ré-émergents à provoquer de futures épidémies. Le virus derrière COVID-19 pourrait bien muter d’une manière qui rendrait inutiles les vaccins et les antiviraux auparavant efficaces. Par conséquent, tout organisme de réglementation envisageant des moyens d’accélérer les traitements dans les tests devrait également évaluer la probabilité que ces médicaments fonctionnent au-delà de ce coronavirus particulier.
Tester des vaccins et des médicaments sans prendre le temps de bien comprendre les risques pour la sécurité pourrait entraîner des revers injustifiés pendant la pandémie actuelle et à l’avenir. La volonté du public de soutenir les quarantaines et autres mesures de santé publique pour ralentir la propagation a tendance à être corrélée à la confiance des gens dans les conseils de santé du gouvernement. Une ruée vers des vaccins et des thérapies potentiellement risquées trahira cette confiance et découragera les travaux visant à développer de meilleures évaluations. Malgré le réel besoin d’urgence, le vieil adage tient : mesurez deux fois, coupez une fois.
Nature 579 , 321 (2020)
Partout dans le monde, je constate des efforts pour soutenir des programmes de « solution rapide » visant à développer des vaccins et des thérapies contre le COVID-19. Des groupes aux États-Unis et en Chine prévoient déjà de tester des vaccins sur des volontaires humains en bonne santé. Ne vous y trompez pas, il est essentiel que nous travaillions aussi dur et aussi vite que possible pour développer des médicaments et des vaccins largement disponibles dans le monde. Mais il est important de ne pas rogner sur les raccourcis.
doi : https://doi.org/10.1038/d41586-020-00751-9
Les vaccins contre la rougeole, les oreillons, la rubéole, la polio, la variole et la grippe ont une longue histoire d’utilisation sûre et ont été développés conformément aux exigences des organismes de réglementation.
Shibo Jiang
- Shibo Jiang est professeur de virologie à la School of Basic Medical Sciences, Fudan University, Shanghai, Chine, et au New York Blood Center, New York, États-Unis.
.
https://www.sciencedirect.com/science/article/pii/S0738081X21001516#fig0003
R
Je travaille au développement de vaccins et de traitements contre les coronavirus depuis 2003, lorsque l’épidémie de syndrome respiratoire aigu sévère (SRAS) s’est produite. À mon avis, les protocoles standard sont essentiels pour protéger la santé. Avant d’autoriser l’utilisation d’un vaccin COVID-19 chez l’homme, les régulateurs doivent évaluer la sécurité avec une gamme de souches virales et dans plus d’un modèle animal. Ils devraient également exiger des preuves précliniques solides que les vaccins expérimentaux préviennent l’infection, même si cela impliquera probablement d’attendre des semaines, voire des mois, pour que les modèles soient disponibles.
C’est du temps bien dépensé. Les travaux avec le virus du SRAS montrent que des réponses immunitaires inquiétantes ont été observées chez les furets et les singes, mais pas chez les souris. De plus, certains fragments de protéines virales peuvent provoquer des réponses immunitaires plus puissantes ou moins risquées que d’autres, et il est logique d’apprendre cela dans des études animales avant de les essayer chez l’homme.
Il y a des décennies, des vaccins développés contre un autre coronavirus, le virus de la péritonite infectieuse féline, augmentaient le risque pour les chats de développer la maladie causée par le virus ( T. Takano et al. J. Vet. Med. Sci. 81 , 911-915; 2019 ). Des phénomènes similaires ont été observés dans des études animales pour d’autres virus, y compris le coronavirus qui cause le SRAS ( YW Kam et al. Vaccine 25 , 729-740 ; 2007 ).
Les régulateurs doivent continuer à exiger que les développeurs de vaccins vérifient les réponses potentiellement dangereuses dans les études sur les animaux. Ils doivent également veiller à évaluer les volontaires humains en bonne santé pour les anticorps contre les coronavirus avant de les inscrire à des essais de sécurité. Les bailleurs de fonds doivent se méfier du battage médiatique et débloquer davantage de subventions pour des tests appropriés pour le développement de médicaments et de vaccins contre les coronavirus.
Mon inquiétude est que cela puisse signifier qu’un vaccin est administré avant que son efficacité et son innocuité n’aient été entièrement évaluées dans des modèles animaux ou des essais cliniques.
Un autre facteur doit également être pris en compte : le potentiel des coronavirus émergents et ré-émergents à provoquer de futures épidémies. Le virus derrière COVID-19 pourrait bien muter d’une manière qui rendrait inutiles les vaccins et les antiviraux auparavant efficaces. Par conséquent, tout organisme de réglementation envisageant des moyens d’accélérer les traitements dans les tests devrait également évaluer la probabilité que ces médicaments fonctionnent au-delà de ce coronavirus particulier.
Tester des vaccins et des médicaments sans prendre le temps de bien comprendre les risques pour la sécurité pourrait entraîner des revers injustifiés pendant la pandémie actuelle et à l’avenir. La volonté du public de soutenir les quarantaines et autres mesures de santé publique pour ralentir la propagation a tendance à être corrélée à la confiance des gens dans les conseils de santé du gouvernement. Une ruée vers des vaccins et des thérapies potentiellement risquées trahira cette confiance et découragera les travaux visant à développer de meilleures évaluations. Malgré le réel besoin d’urgence, le vieil adage tient : mesurez deux fois, coupez une fois.
A reblogué ceci sur La vérité est ailleurset a ajouté:
Il fIaut Iabsolument lire cet article
J’aimeJ’aime
Un éclaircissement sur ce fragment de phrase « POURQUOI LE PLUS DOSE DES VACCINS » ??? Merci
J’aimeJ’aime
j’ ai fourni des articles en la matière cf les souris
J’aimeJ’aime
Autre : « La protéine S se repend » sans doute « La protéine S se répend »
J’aimeAimé par 1 personne
Bravo Patrice, un article choc qui met en avant de manière irréfragable la dangerosité de ces dits vaccins et qui ne met pas le lecteur dans le doute en essayant de lui démontrer l’efficacité de ces poisons, quelque soit le calcul d’arrivée 1% ou 95%.
C’est exactement dans ce sens qu’il faut aller, montrer de vrais articles scientifiques qui prouvent que la charrue a été mise avant les bœufs et que les conséquences sont catastrophiques.
J’aimeAimé par 1 personne
Ping: POURQUOI LES EFFETS SECONDAIRES DES VACCINS N’ONT-ILS PAS ÉTÉ ÉTUDIÉS SUR LES ANIMAUX ? – JEMINFORMETV.COM
Comprenez que nous valons moins que les animaux : selon nos maîtres milliardaires-écolo-véganiens, nous devons y passer, pas eux.
J’aimeJ’aime
Le problème avec les effets secondaires graves de ce vaccin,c est que les autorités ciblent un effet secondaire et disent que le bénéfice risque est bonne.C est une omission grave de leur part puisque ce vaccin attaque toutes les parties du corps et causent d innombrables effets secondaires graves différents. Il faut prendre l ENSEMBLE des effets indésirables et on voit que ce vaccin explose tous les records des vaccins et médicaments établis et ceci de très loin.Mediathor sera rien à côté de ce nouveau scandale .
J’aimeJ’aime
Bravo Mr Giibertie pour l’excellent travail que vous faites .
J’aimeJ’aime
Cela n’empêche pas l »étude que vous citez de conclure (traduction google)
« La quantité exceptionnellement faible de glycoprotéine de pointe qui se diffuse dans les microvasculaires ACE2+ n’entraîne jamais un processus pathologique qui ressemble à COVID-19 sévère ou critique et donc, sans surprise, l’activation de la voie du complément n’est pas observée, et des complications vasculaires thrombotiques, bien que rarement signalées après l’administration de le vaccin COVID-19, n’ont pas été prouvés comme étant causés par le vaccin. »
Ben voyons!
Ce médecin est plus « réservé »:
Voir:https://crowdbunker.com/v/UGjH6zVYqM
J’aimeJ’aime
Celui-ci également:
J’aimeJ’aime
Il parait que désormais ce ne sont plus des rats et des souris, mais des hamsters
Quoiqu’il en soit rares sont les gens qui font remarquer que les animaux de laboratoire sont nourris plus conformément à leurs habitudes alimentaires que les humains dont, entre autres, l’appareil digestif dans son ensemble n’est pas fait pour manger de la viande, ni même pour manger n’importe comment et dans n’importe quel ordre les aliments non carnés.
Il s’en suit que la résistance aux agressions « vaccinales » que subissent artificiellement les animaux ne souffrant d’aucune morbidité est relativement plus forte que celles des humains se nourrissant irrationnellement face aux mêmes agressions avec un patrimoine génétique, un passé médical, des modes alimentaires divers, etc, sans même qu’il y aient alcool, cigarettes, sucre et sel en excès, etc…..
Alors que justement Hippocrate disait « Que ton aliment soit ton premier remède »
J’aimeJ’aime